
ضعف طبقة المينا في الأسنان وطريقة علاجها

طبقة المينا في الأسنان
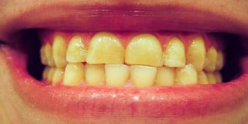
تُعتبر الأسنان من الأجزاء المهمة في الجسم وتوجد في الفم، وتتكون الأسنان من طبقاتٍ عدة من بينها العاج والمينا واللب، وطبقة المينا هي أكثر الطبقات صلابة في جسم الإنسان وهي الطبقة الخارجية التي تُغلف السن، أي أنها الطبقة الأولى منه، وتُصاب هذه الطبقة بالعديد من المشاكل من بينها الضعف والتآكل، الذي قد يُصيب بعض الأسنان أو جميعها، وسنقدم في هذا المقال والفيديو المرفق شرحاً عن ضعف طبقة المينا في الأسنان وطريقة علاجها.
أسباب ضعف طبقة المينا في الأسنان
يُقصد بضعف المينا إصابتها بقلة السماكة بحيث تُصبح رقيقة وتُصاب بالتآكل مما يجعلها تتعرض لعملية الحت ويوجد عدة أسباب تؤدي إلى هذه الحالة ومن أهمها ما يلي:
- استخدام فرشاة الأسنان بطريقةٍ خاطئة بحيث يتم استخدامها بشدة أثناء تنظيف الأسنان مما يُسبب إلى ترقق طبقة المينا مع الزمن.
- الإكثار من تناول أصناف معينة من الطعام، بحيث تؤثر بشكل مباشر على هذه الطبقة وتُسبب تحللها مثل الحمضيات كالليمون والبرتقال وغيرها بالإضافة إلى المشروبات الغازية.
- كثرة الضغط على الأسنان والشدّ عليها خصوصاً عند النوم وهذا يُسبب تكسر المينا وضعفه.
- شرب مياه ذات مكونات عديدة تؤثر على المينا، كالمياه التي تحتوي على الفلورايد بنسبةٍ مرتفعة بالإضافة إلى الماء الذي يحتوي على نسبة عالية من المعادن.
علاج ضعف طبقة المينا في الأسنان
يكون العلاج الأساسي لهذه الحالة بالوقاية أولاً، وذلك بتجنب الأسباب التي تؤدي إلى تآكل المينا وضعفه، أما الطرق العلاجية فهي كما يلي:
- إجراء عملية فنييرز للأسنان وذلك بتلبيسها طبقة فنييرز تُغطي آثار التآكل وتُعطي للأسنان مظهراً جميلاً وهي ما يُعرف باسم “ابتسامة هوليود”، وهذه تحل المشكلة بشكلٍ كامل.
- إجراء عملية تلبيس للأسنان بشكلٍ كامل، وخصوصاً الأسنان الخلفية.
نصائح لتقوية طبقة المينا وحمايتها من الضعف
- تنظيف الأسنان بطريقةٍ صحيحة واستخدام فرشاة ناعمة كي لا تؤذي طبقة المينا.
- التغذية السليمة وتناول الأطعمة التي لا تُسبب أضراراً للأسنان، والحرص على تناول المشروبات الغازية باستخدام “مصاصة” كي تُسبب أقل أذى ممكن للأسنان.
- تناول الأطعمة التي تحتوي على الكالسيوم مثل فول الصويا والسبانخ والملفوف.
- مضغ اللبان أو العلكة الخالية من السكر لتحفيز إنتاج اللعاب الذي يقضي على البكتيريا الموجودة في الفم وللتقليل من نسبة الجراثيم المتراكمة على الأسنان.
- تجنب النوم في حالة الشعور بالقلق والتوتر كي لا يحدث شد أو ضغط على الأسنان أثناء النوم.
- الحرص على تناول ماء يحتوي على كميات قليلة من المعادن والفلورايد للحفاظ على طبقة المينا قوية.
صفحة جديدة 2
بإمكانكم
الاتصال بالدكتور انس عبد
الرحمن أخصائي زراعة الأسنان وتركيب أبتسامة هوليود
عبر الواتساب
للأستفسار حول علاج الأسنان في مركز
أسنانك الدولي في اسطنبول
أنقر
هنا ليتم الاتصال المباشر مع الدكتور انس عبد الرحمن أخصائي زراعة وتركيب اسنان
أو إنسخ رقم الموبايل
00905355709310
للأتصال به عبر الموبايل أو الأيمو
كما بإمكانكم الأشتراك في قناة الدكتور أنس
عبد الرحمن ليصلكم كل شي جديد
